17
Novembre
2016
Marco Travaglio a Trani con "Perché no". Appuntamento all'Impero questa sera
Marco Travaglio sarà a Trani con "Perché no. Uno spettacolo contro il silenzio delle tv", con Travaglio e Giorgia Salari. La voce era già circolata nelle scorse settimane, ed oggi si sa che Travaglio porterà in scena, presso il cinema teatro Impero oggi, giovedì 17 novembre, alle 21, il suo spettacolo teatrale. L'evento è stato promosso dagli attivisti del Movimento 5 stelle di Trani e organizzato dall'Impero.
«Siamo in piena campagna... (continua ...)
Oggi, al "De Amicis" di Trani, "Educhiamoci alle differenze, per una scuola a prova di stereotipo"
Oggi, giovedì 17 novembre, dalle 16 alle 19, presso l’aula magna del primo circolo didattico “De Amicis” di Trani in via N. De Roggiero 56 si terrà un incontro dal titolo “Educhiamoci alle differenze, per una scuola a prova di stereotipo”.
Interverranno l’assessore ai diritti dell’infanzia e dell’adolescenza della città di Trani; Paola Valeria Gasbarro, dirigente scolastico del primo circolo “De Amicis” di Trani;... (continua ...)
Verso il piano strategico regionale della cultura: oggi, a Trani, "Chiamata alle arti"
“Chiamata alle arti”. Nell'ambito delle azioni di lancio del piano strategico della cultura della Regione Puglia oggi, giovedì 17 novembre, alle 19, presso la sala Ronchi della biblioteca comunale, il sindaco di Trani, Amedeo Bottaro, e l'assessore alla cultura, Felice Di Lernia, incontreranno gli operatori culturali e artistici della città per un primo confronto in vista dell'incontro provinciale che si terrà lunedì 21 novembre.
Il piano strategico del... (continua ...)
Vola pietra in campo: la prima multa per il «nuovo» Trani è di 300 euro. Ed il giudice sportivo ne squalifica due
Il giudice sportivo della Figc Puglia ha squalificato per un turno Nicola Ciaramitaro (espulso domenica scorsa per doppia ammonizione) e Giuseppe Dell'Oglio, per recidiva in ammonizione. Entrambi saranno indisponibili per la gara di Casarano. Inoltre, a carico del sodalizio biancoazzurro, anche una multa di 300 euro perché, si legge nel comunicato ufficiale, «propri tifosi lanciavano una pietra in campo che cadeva a circa un metro da un assistente dell'arbitro senza conseguenze&raqu... (continua ...)
Ufficiale: Rianimazione da Trani a Bisceglie. Da oggi, ricoveri sospesi e attivazione di una «guardia rianimatoria»
Fine della storia: Rianimazione chiude e se ne va a Bisceglie. Nessuna sorpresa, né scandalo: era noto e scritto da tempo. La comunicazione ufficiale è arrivata in queste ore e dispone che a partire da oggi, giovedì 17 novembre, siano sospesi i ricoveri presso l'Unità operativa di terapia intensiva del plesso di Trani: motivo, il trasferimento del reparto al presidio ospedaliero di Bisceglie.
In ogni caso, l'Asl Bt garantisce «la presenza di una guardia ... (continua ...)
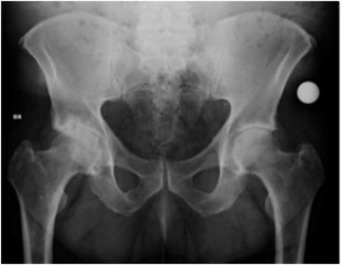
È paziente oncologica, ma le prenotano una radiografia a Trani il 30 giugno 2017: la farà stamani, a pagamento
È una paziente oncologica, la sua patologia ne sta minando la stabilità delle gambe e, per questo motivo, il medico curante le ha prescritto una radiografia delle anche, con urgenza. Nonostante l'indicazione del cosiddetto «codice 48» che consente a chi soffre di questi problemi di accorciare i tempi di attesa per gli esami strumentali, l'appuntamento con la radiografia le è stato fissato al 30 giugno 2017.
I familiari della donna, la signora Vincenza, hanno c... (continua ...)
Il Pg della Cassazione chiede il trasferimento da Trani del Pm Savasta: martedì prossimo la decisione del Csm
Il procuratore generale della Cassazione, Pasquale Ciccolo, ha chiesto alla Sezione disciplinare del Consiglio superiore della magistratura di trasferire in via cautelare il pubblico ministero di Trani, Antonio Savasta.
Si tratta di uno dei due magistrati della locale Procura (l'altro è Luigi Scimè) su cui la prima commissione del Csm ha già aperto la procedura di trasferimento d'ufficio per incompatibilità ambientale e funzionale, sulla base di una serie di espost... (continua ...)
Disagi sulle complanari della Trani-Andria, Ventola (Cor): «Ponte necessario, la Regione se ne faccia carico»
«Dei danni causati dalla riforma delle province Renzi si faccia carico la Regione Puglia».
Lo chiede Francesco Ventola, consigliere regionale dei Conservatori e riformisti, nonché ex presidente della Bat, che si sta facendo promotore «di una proposta che affronti e risolva la mancanza di un ponte sulla Andria-Trani - fa sapere -, infrastruttura necessaria per il cambio di carreggiata a servizio dei frontisti dei terreni e delle tante aziende che insistono su quel trac... (continua ...)
Vivibilità ambientale dei capoluoghi di provincia: Barletta, Andria e Trani non pervenute
Pochi e sporadici i passi avanti fatti dai capoluoghi pugliesi che mostrano performance ambientali sostanzialmente statiche. È quanto emerge dalla ventitreesima edizione di “Ecosistema urbano”, la ricerca di Legambiente realizzata in collaborazione con l’Istituto di ricerche ambiente Italia e Il sole 24 ore sulla vivibilità ambientale dei capoluoghi di provincia italiani.
È stata presentata a Bari nel corso di un convegno che ha visto la partecipazione, ... (continua ...)
L'Olimpia non fallisce l'esordio: Trani-Brindisi 46-39. Errori in lunetta, il coach chiede più orari per gli allenamenti
L'Olimpia Trani ha esordito con successo nel campionato di serie B femminile di basket, battendo 46-39 l'Intrepida Brindisi, retrocessa dalla A2. Questi i parziali: 11-11; 17-23; 30-31; 46-39.
Olimpia quasi disastrosa della lunetta, ma poi, nei momenti decisivi della partita, sempre presente e determinata a chiudere il match a proprio favore.
Soddisfatto l'allenatore, Pietro Mastrototaro, che però vorrebbe più orari al palazzetto per fare allenare al meglio la sua squadr... (continua ...)
Attività sportiva scolastica nella scuola primaria per l’anno scolastico in corso, se n’è parlato al “Petronelli” di Trani
Presso l'aula magna del II circolo didattico “Monsignor Petronelli” di Trani si è tenuta ieri la conferenza di servizio indetta dall’Ufficio III ambito territoriale per la province di Bari/Bat “Coordinamento area motoria e sportiva”, avente come tema l'avviamento dell'attività sportiva scolastica nella scuola primaria per l'anno scolastico 2016/2017. L'incontro era rivolto ai dirigenti scolastici, ai docenti referenti per l'attività... (continua ...)
VIDEO. Trani religiosa, a Pozzo piano fiaccolata di quartiere in memoria di San Giuseppe Moscati
La Parocchia Spirito Santo conclude la memoria liturgica di San Giuseppe Moscati con una fiaccolata nel quartiere parrocchiale di pozzo piano. La ricca galleria fotografica sul blog Tranireligiosa.it insieme al racconto della serata. (continua ...)
«Educazione finanziaria», domani un convegno alla Lum di Trani
«Senza il sistema del credito non esiste l'economia così come la conosciamo. Ma oggi il sistema bancario può fare di più?». È questa una delle domande di partenza su cui si fonda l'incontro in programma oggi, giovedì 17 novembre, alle 17.30, presso la sede di Trani dell'Università Lum Jean Monnet, dal titolo «Il ruolo delle banche a favore della crescita. L'importanza dell'educazione finanziaria».
Dopo i saluti istituzionali de... (continua ...)
VIDEO. Commercio illecito di cuccioli, la Guardia di finanza di Trani ne salva 32. Denunciata una persona
Finanzieri della Compagnia di Trani hanno dato esecuzione ad un provvedimento di sequestro emesso della locale Autorità Giudiziaria di 32 cuccioli di cane, tutti di razze pregiate, provenienti dall’Ungheria e giunti in Italia al porto di Brindisi, dopo un lungo viaggio durato oltre 40 ore.
Il venditore e l’autista, anziché privilegiare il più corto tragitto via terra attraverso i valichi del Nord-Est italiano (percorribile in 20 ore), hanno optato per un lungo... (continua ...)
Trani, accusa un malore mentre si reca ad uno studio legale: muore d'infarto sul pianerottolo
Una donna, di 65 anni, è morta per arresto cardiaco, sul pianerottolo al primo piano di uno stabile in corso Vittorio Emanuele, nei pressi dell'incrocio con Corso Matteo Renato Imbriani.
L'episodio è avvenuto questa sera, intorno alle 19.30. Si stava recando presso uno studio legale, quando ha avvertito un malore e s'è improvvisamente accasciata: l'infarto ha provocato un arresto cardiaco che ne ha determinato il decesso nonostante i prolungati tentativi dei soccorr... (continua ...)














