5
Febbraio
2015
Giustina Rocca, fino ad oggi uno sportello per i genitori dei futuri alunni
Fino ad oggi, giovedì 5 febbraio, dalle 9 alle 10 (compreso il sabato) sarà attivato, presso la Scuola secondaria statale di 1mo grado “Giustina Rocca”, uno sportello informativo rivolto ai genitori degli alunni frequentanti le classi quinte delle scuole primarie.
L’attività dello sportello si inserisce nel più ampio Progetto continuità, che costituisce parte integrante del Piano dell’offerta formativa della scuola media Giustina Rocc... (continua ...)
Fitto casa 2013, i 135 esclusi hanno tempo per i ricorsi fino ad oggi
È stata approvata la graduatoria provvisoria per il fitto casa 2013. Le domande pervenute sono 1495, 1360 quelle ammesse, 135 gli esclusi.
La graduatoria è stata trasmessa all’ufficio Albo pretorio del Comune di Trani (palazzo di città, primo piano) al fine di dare la possibilità ai richiedenti di verificare l’ammissione al beneficio ed agli esclusi di poter fare ricorso tassativamente e non oltre oggi, giovedì 5 febbraio, avvalendosi esclusivame... (continua ...)
«Abbonati, fatevi riconoscere». Da domenica, a Trani, obbligo di esibire un documento insieme con la tessera stadio
Sul sito sociale, la Vigor Trani fa sapere ai suoi abbonati che «per motivi di sicurezza, in occasione della prossima partita di campionato e di tutte le altre partite che si disputeranno in casa, è obbligatorio presentare, accompagnato all'abbonamento, un documento di identità valido e con foto. Non saranno accettati codici fiscali».
Quanto ai gruppi organizzati in possesso di abbonamenti, timbrati a loro nome, «ci dovranno fornire – si legge ancora sul ... (continua ...)
Vigor Trani, mister Benni Costantino squalificato fino al 12 febbraio
Il giudice sportivo ha diramato i provvedimenti disciplinari dell'ultima giornata del campionato di eccellenza pugliese. A carico della Vigor Trani si registra la squalifica fino al 12 febbraio di mister Benni Costantino.
Non si conoscono i motivi che hanno portato il giudice sportivo ad adottare questa decisione a scapito dell'allenatore biancoazzurro. Di certo Costantino seguirà dalla tribuna il match di sabato prossimo al "Comunale" contro il Molfetta.
Nessun altro provvedim... (continua ...)
Regione e lapideo tornano a confrontarsi a Trani. Caracciolo (Pd). «Il nostro distretto merita rispetto»
Si è svolto ieri l’incontro tra rappresentanti della Regione Puglia ed operatori del Distretto della Pietra Trani-Minervino promosso dal consigliere regionale e Presidente della V Commissione Ambiente Filippo Caracciolo. All’iniziativa che si è tenuta presso il Castello Svevo di Trani hanno partecipato la vice presidente Regione Puglia ed assessore alla Qualità del territorio Angela Barbanente, la dirigente area Politiche per la mobilità e qualità urbana... (continua ...)
Vigor Trani-Molfetta, vietata la trasferta ai tifosi molfettesi
La voce girava in città già da un paio di giorni. Si attendeva però un documento ufficiale da parte della prefettura. Ed in effetti questo comunicato dell'organo periferico del governo è arrivato in tarda mattinata alla dirigenza della Vigor Trani a firma del prefetto Clara Minerva.
La gara di sabato valevole per la sesta giornata di ritorno tra Vigor Trani e Molfetta è stata vietata ai tifosi molfettesi, su indicazione dell'osservatorio sulle manifestazioni... (continua ...)
Trani, nella casella postale del commissario Iaculli giungono gli 8 quesiti dei Verdi: gare, situazioni societarie delle partecipate e interventi di bonifica
Riceviamo e pubblichiamo
«Nei giorni scorsi utilizzando anche il servizio di comunicazione diretto posto in essere dal Commissario Prefettizio abbiamo inoltrato una nota con la quale abbiamo chiesto notizie in relazione ad una serie di questioni di particolare rilievo quali:1) n.2 Gare per il servizio di ristorazione scolastica per gli alunni delle scuole dell’Infanzia e della scuola Primaria (per due annualità 2014-2015 e 2015-2016). Preso a... (continua ...)
Trani, il Cat organizza corsi di formazione per animatori turistici. Info e modalità d'iscrizione
Comunicato stampa
Gli animatori sono formati sul campo e di conseguenza le loro competenze professionali sono misurate in gran parte sull’esperienza diretta. Avere, dunque, una equipe di animatori formati al fianco reca sicuramente numerosi vantaggi. Nasce qui la necessità di fornire nuovi stimoli e contributi formativi alla crescita professionale di questi ragazzi. Una buona formazione della figura dell’animatore può essere considerata un investimento molto... (continua ...)
Procura di Trani, il ministero dell'Economia non partecipa all'udienza sulle agenzie di rating. Lo Stato non potrà chiedere i danni
Se le agenzie Standard & Poor's e Fitch dovessero essere condannate, lo Stato italiano non potrà chiedere i danni in quanto il ministero dell'Economia avrebbe deciso di non prendere parte al dibattimento processuale partito ieri presso la Procura di Trani. Non si costituiscono parte civile neanche Consob e Bankitalia che parteciperanno alle udienze come persone offese e quindi come semplici spettatori.
Hanno deciso di costituirsi parte civile invece le associazioni dei consumatori ... (continua ...)
Trani storia di un pomeriggio di sport finito male: rovinata da una rissa in campo la vittoria degli juniores della Nuova Andria sul Carapelle
Sono dovuti intervenire polizia e carabinieri per sedare una rissa, scoppiata in campo, durante la gara di calcio juniores fra Nuova Andria e Carapelle, disputatasi ieri pomeriggio sul campo in terra battuta “Monsignor Reginaldo Addazi”, al chilometro 2 della strada provinciale Trani-Andria, in territorio di Trani. Questo, infatti, è l’impianto sul quale la società andriese disputa tutte le sue gare di campionato, comprese quelle della prima squadra, che milita in Prim... (continua ...)
Trani 2015, veto di Sel contro Ncd, Udc, Trani libera e Briguglio: «Dentro loro, fuori noi»
Le primarie del centrosinistra del 1mo marzo disseminate di paletti da parte di Sinistra ecologia e libertà. Il partito di Vendola ci sarà, e presenterà Mimmo Santorsola, solo a condizione che alle primarie non corrano soggetti politici non appartenenti al recinto del centrosinistra.
Il primo riferimento, in particolare, sembrerebbe al Nuovo centrodestra e all'Udc, che in provincia sostengono l’opposta coalizione.
Veto anche verso chi, nel passato, ha sfiduc... (continua ...)
Dopo la fascia, Trani cambia anche le bandiere: comprate nove per rifarci la facciata
Dopo la fascia tricolore, anche le bandiere. Il Comune di Trani tira a lucido tutti i simboli istituzionali, e non soltanto per cingere il sindaco, ma anche per dare maggiore decoro all'ingresso del palazzo di città.
Anche in questo caso, la determinazione dirigenziale risale ad una data, il 12 dicembre, precedente a quella della bufera giudiziaria che ha cambiato la storia recente della vita politico-amministrativa a Trani. Il provvedimento dispone impegno di spesa ed acquisto delle b... (continua ...)
WHATSAPP. Trani, l'angolo buio di largo Romania: palo dell'illuminazione pubblica spento da oltre 10 giorni
La zona periferica di via Ungheria - Largo Romania chiede un supporto "illuminante". La segnalazione giunge tramite il nostro servizio Whatsapp (373.8720314) dedicato ai nostri lettori. Da oltre dieci giorni il palo dell'illuminazione pubblica segnalato non sarebbe funzionante.
La preoccupazione dei residenti è legata soprattutto al poco traffico serale che legato alla scarsa illuminazione potrebbe favorire malintenzionati a danneggiamenti o furti di auto già considerevoli.(continua ...)
Viola gli obblighi e circola in moto per Trani senza patente: arrestato
I Carabinieri del Nucleo Operativo e Radiomobile della Compagnia di Trani hanno tratto in arresto un cittadino tranese per inosservanza delle prescrizioni imposte dalla sorveglianza speciale di pubblica sicurezza.
Nel corso di un consueto servizio di pattugliamento antirapina per le vie del centro i militari hanno notato una Vespa di colore nero, sprovvista di targhe, condotta da un cittadino che, a distanza di qualche decina di metri, cercava elusivamente di sottrarsi ad un eventuale control... (continua ...)
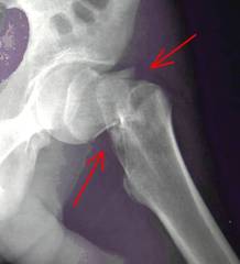
Anziani di Trani, cautelatevi: se vi fratturaste il femore, l'unico ospedale per operarvi è Canosa
A partire da questo mese, e fino a nuova disposizione, l'unico plesso ospedaliero dell'intera Asl Bt in cui gli anziani dovranno ricoverarsi ed operarsi per fratture al femore e dintorni sarà quello di Canosa di Puglia. Infatti, il direttore generale, Ottavio Narracci, ha informato tutti gli operatori sanitari che, per l’Ortogeriatria, sarà proprio quel presidio l'unico abilitato in tutto il territorio sanitario.
Una decisione che, sicuramente, restituisce il sorriso alla ... (continua ...)














